پروتز ثابت دندان چیست —
این مطلب جهت آشنایی شما با پروتز دندان بصوررت ثابت است. تعریف پروتز: پروتز به هر جسمی که به طور مصنوعی ساخته شده و جایگزین یک عضو از دست رفته بدن انسانی میشود اطلاق میگردد. 
در زمینه دندانپزشکی پروتزها معمولا جایگزین دندانهای از دست رفته میشود ولی تنها شامل این مورد نیست و در مواردی که قسمتی از فک به دلایلی مثل سرطان و تصادفات و غیره از بین میرود توسط پروتز های مصنوعی که ساخته میشود جایگزین میگردد.در زمینه جایگزینی دندانهای از دست رفته ما از سه نوع پروتز استفاده میکنیم که شامل پروتز های متحرک …. ثابت و ایمپلنتها میشود که خود نوعی از پروتز ثابت میباشد …. مورد بحث امروز پروتز ثابت میباشد .
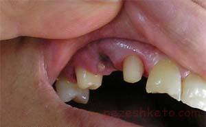
به این تصویر دقت کنید …. به نظر شما جایگزینی این دندان از دست رفته چقدر اهمیت دارد؟ …..خوب خیلی …. چندین راه برای جایگزینی وجود دارد.یک راه ساده و ارزان پروتز متحرک میباشد از این دندونهایی که به راحتی میتونیم در بیاریم و معمولا یک چیز یوغوری است و هر بار که غذا میخوریم باید در بیاریم و بشوئیم ….و مواظب باشیم که قورتش ندیم ؟!خوب خیلی ها که امکانات مالی خوبی ندارند این گزینه را مجبور هستند که انتخاب کنند. معمولا به اینها فیلیپر میگویند و از این نوع پروتز ها هم تصویر تهیه کرده ام که در جایش بحث خواهیم کرد …. معمولا به صورت موقت بعد از کشیدن دندان از این پروتز هم استفاده میشود تا جای زخم دندان کشیده شده خوب شود بعد نسبت به پروتز ثابت اقدام گردد….. تا بدینوسیله زیبائی بیمار در مدت ترمیم زخم هم تامین گردد…..
راه دوم جایگزینی پروتز ثابت میباشد که با استفاده از دندانهای کنار دندان از دست رفته یک پروتزی ساخته میشود که به صورت ثابت میچسبد و در نمیاد و زیبائی و عملکرد قابل قبولی دارد که الان شرح خواهم داد….. البته راه دیگر جایگزینی ایمپلنت میباشد که بدون تراش دندانهای کناری دندان از دست رفته از خود بافت استخوانی دندان کشیده شده به عنوان بستر پروتز استفاده میشود که در مبحث ایمپلنتها شرح خواهم داد…..حال به توضیح پروتز ثابت میپردازیم …..
این همان دندان کشیده شده است که قصد جایگزینی دندان کشیده شده را داریم ….. در این حالت باید دندانهای کناری را در حدی که بشود به عنوان پایه استفاده کرد تراش میدهیم ….. بزرگترین مسئله ای که بیماران دارند این است که حیفشان میاد که دندان سالمشان تراش بخورد و تا حدودی هم حق دارن و برای همین هم هست که بیشتر به ایمپلنت رو میاورند ولی خوب ایمپلنت به دلیل هزینه بالا و در ضمن مراحل زیاد جراحی و مشگلات دیگری که ممکن است پیش بیاید همیشه نمیتوتند جایگزین مناسبی باشد…. پروتز ساخته شده بر روی این دندانهای تراش خورده اگر بدقت جایگزین گردد نه تنها آسیب به دندان نمیرسد بلکه در حفاظت از دندان هم موثر خواهد بود …. ولی هر نوع بی دقتی در ساخت پروتز واقعا این دندانهای سالم تراش خورده را در معرض آسیب جدی قرار خواهد داد.
این پروتز ها را معمولا چند روزی با چسب موقت میچسبانیم و بعد از اطمینان از نداشتن مشکلی از لحاظ درد و جویدن و…. با چسب دائم میچسبانیم …….. مراقبت های بعد از ساخت توسط بیمار و چک کردن سالانه پروتز توسط دندانپزشک از اهمیت بسزائی برخودار است و باعث افزایش طول عمر پروتز میشود.